
Bayburt Devlet Hastanesi Göğüs Hastalıkları Kliniği’nde, öksürük ve balgam şikayetiyle başvuran 50 yaşındaki hastada kaviter akciğer lezyonu başarıyla tedavi edildi. Malignite ve tüberküloz olasılıkları bronkoskopi ile dışlanarak uygun medikal tedavi başlandı. İki haftalık tedavi sonrası kontrol tomografisinde lezyonda belirgin gerileme gözlendi.
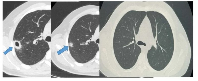
Bayburt Devlet Hastanesi Göğüs Hastalıkları Polikliniği, öksürük ve balgam şikayetiyle başvuran 50 yaşındaki erkek hastada yapılan tetkiklerdeakciğer tomografisinde kaviter (kitlesel) bir lezyon tespit etti.
Hastamız, Göğüs Hastalıkları Uzmanı Uzm. Dr. Hilal Sayma tarafından değerlendirilmiş ve ileri inceleme amacıyla bronkoskopi işlemi uygulanmıştır. Yapılan bronkoskopi sonucunda malignite (kanser) ve tüberküloz olasılıkları dışlanmış, uygun medikal tedavi başlatılmıştır.
İki haftalık tedavi sürecinin ardından yapılan kontrol tomografisinde lezyonda tama yakın gerileme saptanmış, hasta yakın takibe alınmış ve klinik durumu belirgin şekilde düzeltildi.
.jpg)
.jpg)











































Yorum Yazın